很多人都热衷于抽烟,抽烟一方面不但可以解愁,还可以提神。开心的时候来一根,抽的不是烟,是气氛;不开心的时候再来一根,抽的不是烟,是寂寞。
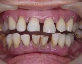
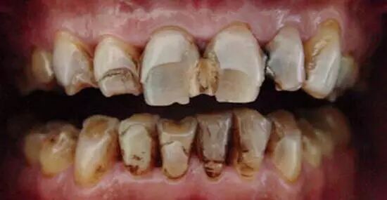
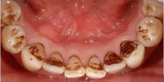
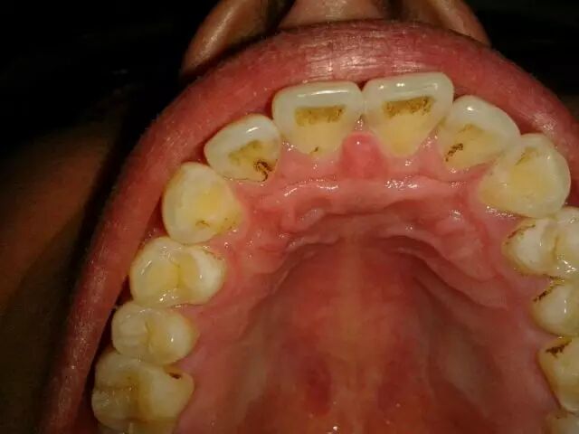
由于养成了抽烟的习惯,常年累月,很多人的牙齿都变黑了,张口还有一股难闻的气味。
烟渍牙形成以后,虽然不会影响到正常的咀嚼、发音,但是会影响容貌美观、口腔健康,所以说烟渍牙还是应该引起重视的。
②水质的因素:有些地区,由于水中含氟量高,过多地饮用氟牙齿会发黄,而且不是1~2个牙齿,是满口大烟渍牙。
③健康因素:牙齿在发育过程中由于营养不好或生过病,会使牙齿的钙化受到影响,牙齿会黄而松脆。
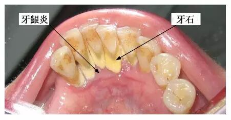
②烟渍牙危害身体健康。若烟渍不除,时间久了会和口腔内的细菌相结合,形成牙结石,刺激牙周组织,导致牙周组织遭到破坏而发生牙周炎,会出现牙龈出血、口臭、牙周溢脓、牙齿松动等症状。
①首先我们需要戒烟!吸烟不但有害我们的健康,而且还是引起烟渍牙最根本的原因,如果能戒烟,就能从根本上解决烟渍牙的问题。
②重视日常的口腔清洁,抽完烟后及时漱口!口腔清洁对于很多牙周疾病都具有很强的预防作用,这是毋庸置疑的事实,因为口腔污物就是引起牙周组织发炎的外在刺激因素,消除此项致病因素,当然就可以预防很多的牙周疾病的发生。
③每天坚持早晚刷牙,时间至少3分钟!每天坚持刷牙,不但可以消除烟渍牙,还可以预防各种口腔问题的发生哦!
④使用亮无忧冷光美白仪7天!亮无忧冷光美白仪,通过离子技术帮助增白啫喱渗透到牙渍里,采用低温蓝光,隔除一切有害的紫外线与红外线,照射到涂抹在牙齿上的特殊增白啫喱上,在最短的时间内使美白剂透过牙本质小管与多年来沉积在牙齿表面及深层的色素产生氧化还原作用,去除牙齿所附着的色素,使牙齿回到未经染色前的洁白。
在清除牙齿表面的污渍残留物的同时,还杀死口腔中造成口臭的细菌。
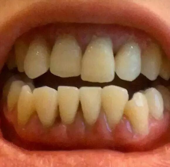
长期抽烟导致的烟渍牙,用了亮无忧美牙仪之后,牙齿变好变白了。
一口洁白的牙齿,不仅仅是口腔健康的标志,更是个人魅力和修养的外在体现。
赶走烟渍牙,我有亮无忧!美白就是这么自信,七天见效,美好生活从“齿”开始,一起重新定义牙齿新时代吧!
